Introduction
   

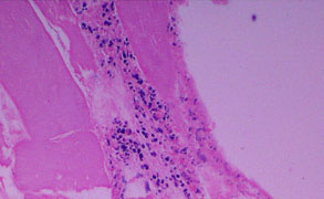
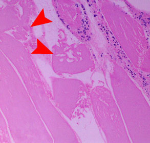
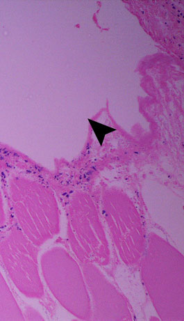
Necrotic myofibres (red arrowheads), gas bubble (black arrowheads).

PREVIOUS
Cases
Back to Prac Classes