Veterinary Pathology - Nutritional Pathology

 
Introduction
   

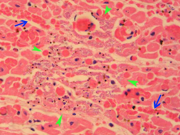
Histological Findings:

Haematoxylin & Eosin (x1000)

There are extensive areas of haemorrhage throughout the myocardium (arrows) with occassional foci of necrosis of myofibres and associated minieralisation of the necrotic fibres (area bounded by arrowheads).

There is also a staining artefact in this slide - what are the small dark granules seen diffusely thorughout the section?

Cases
Back to Prac Classes