Introduction
   

 

 

 

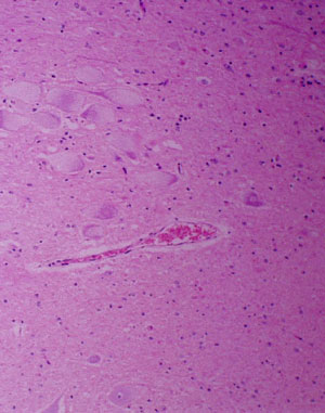
What is wrong with the appearance of these neurons?

PREVIOUS


Cases
Back to Prac Classes