Introduction
   

 


PREVIOUS

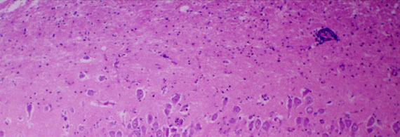
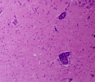
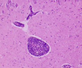
Cases
Back to Prac Classes