Introduction
   

 

 

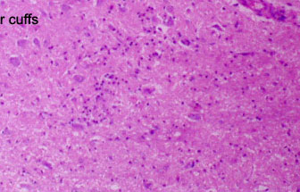
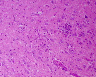
The almost pure lymphocytic perivascular cuffs are consistent with chronic encephalitis (= inflammation of the brain), most likely due to a viral infection.

 

 

 

Elsewhere in the hippocampus, there is multifocal gliosis in addition to perivascular cuffing by inflammatory cells.

PREVIOUS

Cases
Back to Prac Classes