Introduction
   

 

Again, note the astrocytosis (arrow heads) and the swelling of the astrocytic nuclei.

 

 

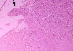
This is a low power view of the dorsolateral aspect of the spinal cord. Note the prominent lymphocyte-rich perivascular cuff in the dorsal funiculus of the white matter and the inflammation of the dorsal (sensory) nerve root (= radiculitis/radiculoneuritis).

 

PREVIOUS

Cases
Back to Prac Classes