Introduction
   

 

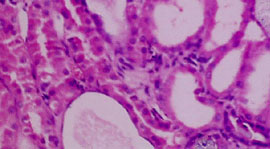
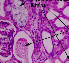
At higher magnification, aggregates of refractile crystals are evident within the lumina of some of the tubules.

 

Cases
Review Questions
Back to Prac Classes