Introduction
   

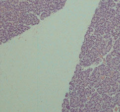
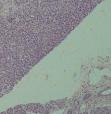
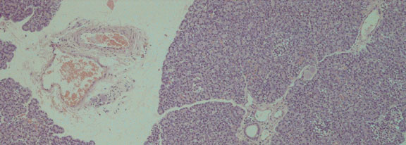
Case 2:

Haematoxylin & Eosin (x100)

Cases
Back to Prac Classes