Veterinary Pathology - Autolysis

 
Introduction
   

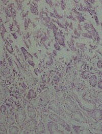
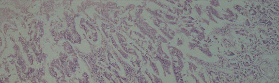
Small Intestine - 24hr @ 20 deg C

Haematoxylin & Eosin (x100)

Rabbit Experiment
Sample Questions
Back to Prac Classes