Veterinary Pathology - Necrosis

 
Introduction
   

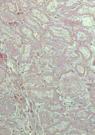
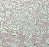
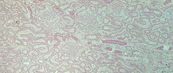
Histological Findings:

Haematoxylin & Eosin (x100)

Cases
Back to Prac Classes