Introduction
   

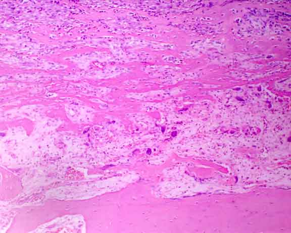
Secondary Fracture Callus (x100)

Have you found the other active area in the low power image?

 

 

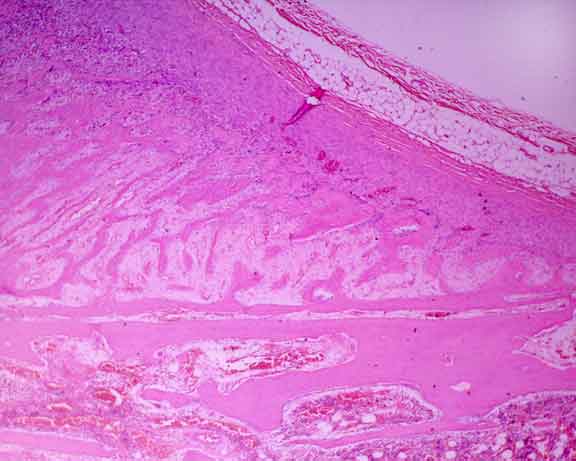
Secondary Fracture Callus (x400)

 


Cases
Back to Prac Classes