Introduction
Jugular Vein
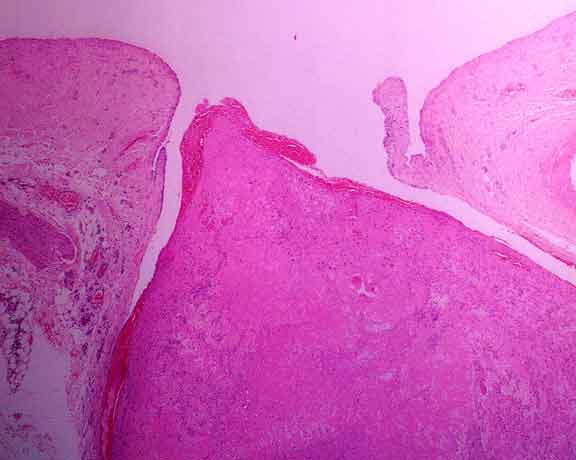
LOW POWER
An almost completely occlusive thrombus is present in a branch of the external jugular vein. Note the valves at the point where the vein branches.
PREVIOUS
NEXT
Cases
Back to Prac Classes