|
|
|

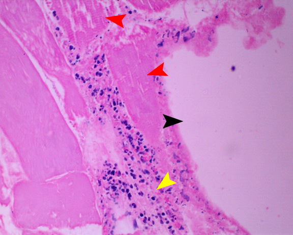
In this high power view, karyorrhectic and pyknotic
neutrophil debris (yellow arrowhead) is visible close to the junction
between viable (red arrowheads - note cross striations) and necrotic tissue.
The lesion is far more necrotising than inflammatory in nature, with only
small numbers of leukocytes present. ass bubble (black arrowhead).
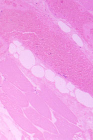
In this part of the muscle, there is obvious congestion
and interstitial oedema associated with the acute necrosis and inflammation.
|
|