Introduction
   

Liposarcoma (soft tissue sarcoma):

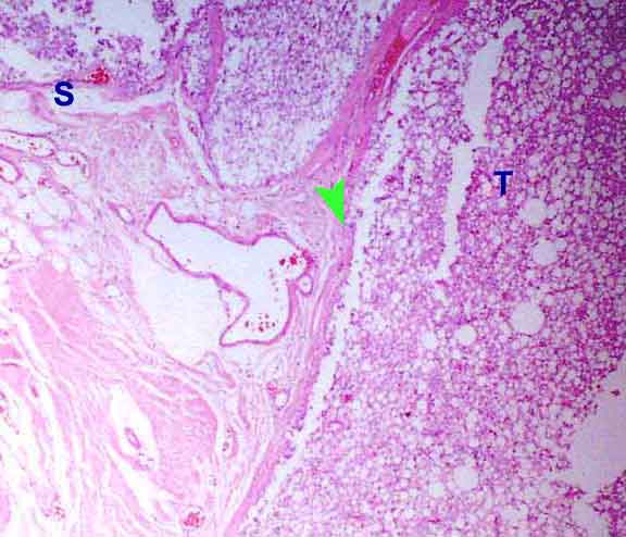
History:

A firm mass was present over the lateral thorax of an old Labrador. The mass had increased in size over a period of a few weeks.

Tumour (T) is partially encapsulated (fibrous wall – green arrow), and is growing into surrounding soft tissues (S). The cells contain clear vacuoles. (x40)

Slide Ref: Lab class 20, slide 11 *

PREVIOUS
Cases
Review Questions
Back to Prac Classes