Introduction
   

 

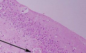
Within the white matter, the increased cellularity largely reflects an increased number of astrocytes, many of which have swollen nuclei.

 

Which cell is usually the predominant cell in CNS white matter?

 

 

Elsewhere in the hippocampus, there is evidence of acute damage to blood vessel walls.

 

PREVIOUS


Cases
Back to Prac Classes