Introduction |
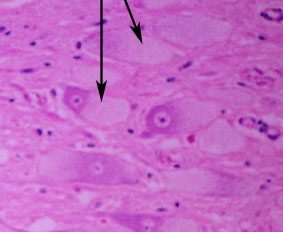
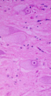
The neuronal cell bodies are distended and have partial
or complete chromatolysis which is most pronounced
away from the nucleus (i.e. peripheral chromatolysis).
In some neurons, there is eccentric positioning of the nucleus.
|
|||||||||
Cases |
||||||||||
Back to Prac Classes |
||||||||||