Introduction
   

 


PREVIOUS

 

 

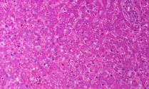
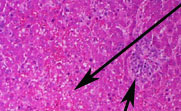
Cases
Review Questions
Back to Prac Classes