Introduction
   

 

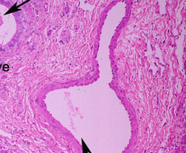
In the large portal area, collagen fibres are separated by oedema fluid. The oedema is also recognisable by the distension of the portal lymphatics.

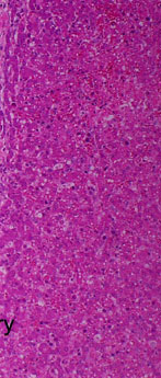
Have you found the other active areas in the low power image?

PREVIOUS

 

 

Cases
Review Questions
Back to Prac Classes