Introduction
   

 

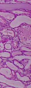
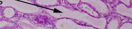
At medium power, pale pink protein casts are visible in the lumina of the tubules. Tubules with enlarged lumina and flattened lining epithelium such as these are described as atrophic.

Cases
Review Questions
Back to Prac Classes