Introduction
   

 

 

 

 

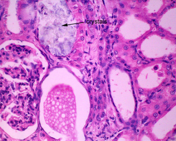
The birefringent crystals are more obvious when the section is viewed with the iris diaphragm of the microscope closed to reduce the light and increase the contrast.

 

 

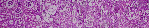
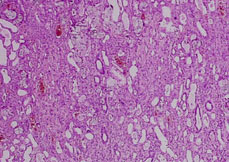
This is a low power view of the corticomedullary junction.

 

Cases
Review Questions
Back to Prac Classes