Introduction
   

 

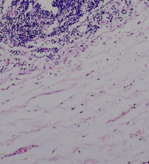
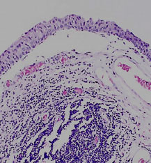
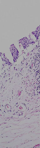
The mucosa is irregularly separating from the underlying submucosa due to post mortem autolysis.

 

Cases
Review Questions
Back to Prac Classes