Introduction
   

 

 

 

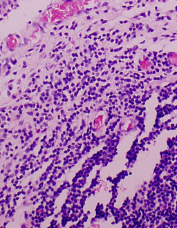
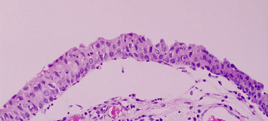
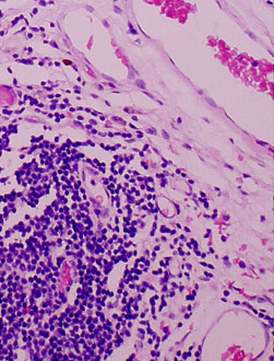
Cases
Review Questions
Back to Prac Classes