Introduction
   

 

 

 

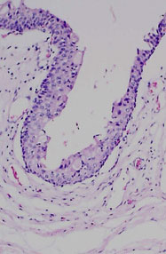
The transitional epithelium of the mucosa appears ragged largely due to post mortem autolytic sloughing of superficial cells.

 

 

Cases
Review Questions
Back to Prac Classes