Introduction
   

 

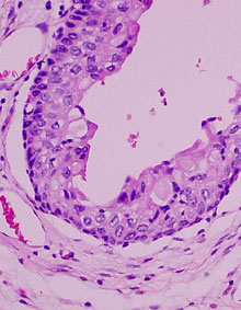
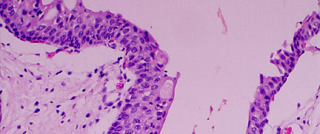
However, at higher magnification, there is evidence of intraepithelial microcyst formation which is not a post mortem artifact. The microcysts contain pale pink mucoproteins. There is also mild patchy hyperplasia of the mucosa.

 

 

Cases
Review Questions
Back to Prac Classes