|
|
|

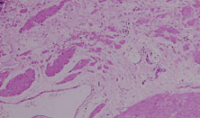
The mucosa immediately adjacent
to the protruberant mass is irregularly thickened. There is also oedema
of the underlying submucosa (note the tell-tale dilation of the submucosal
lymphatics) and a small inflammatory lymphoid aggregate is present
at the left margin of the field.

|