Veterinary Pathology - Necrosis

 
Introduction
   

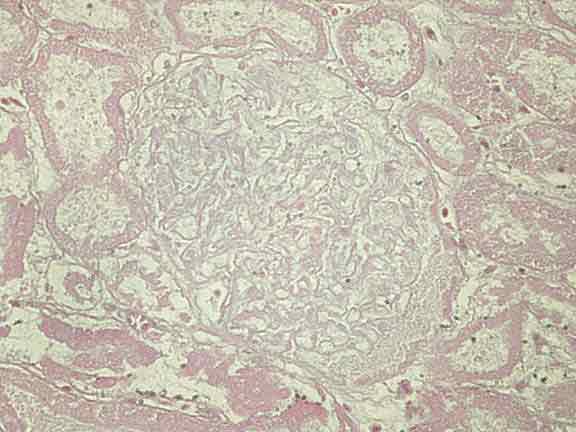
Histological Findings:

Haematoxylin & Eosin (x400)

Sections of the kidney reveal that all the cells in extensive regions of the cortex and medulla had died. They had a hyper-eosinophilic appearance and lacked nuclei. The structure of the glomeruli and the renal tubules were well preserved. There appeared to be no inflammatory cell reaction except at the very edges of the necrotic regions.

This is an example of what type of necrosis?










Cases
Back to Prac Classes