Introduction
   

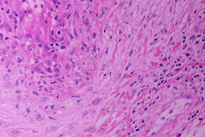
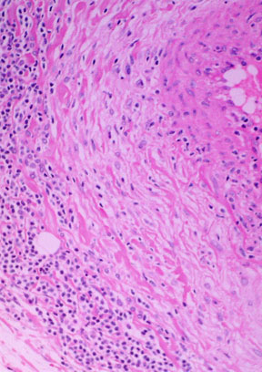
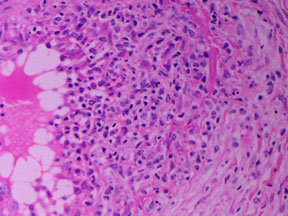
Blood vessels:

 

 

 

PREVIOUS

 

Cases
Review Questions
Back to Prac Classes