Introduction
   

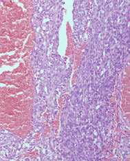
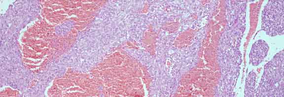
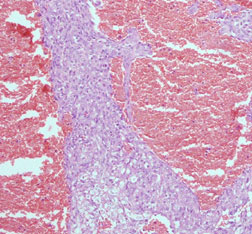
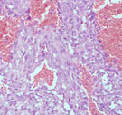
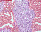
Mass on right auricle (x100)

PREVIOUS

Cases
Review Questions
Back to Prac Classes