Introduction
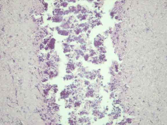
Lymph node (x400)
Mineralised areas of caseous necrosis arranegd in concentric rings.
Have you found the other active area in the low power image?
PREVIOUS
NEXT
Cases
Review Questions
Back to Prac Classes