Introduction
   

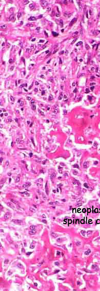
Mass:

(x200)

PREVIOUS

Lymphatic Invasion
Transplantation
Haematogenous Spread
Review Questions
Back to Prac Classes