| |
|
|
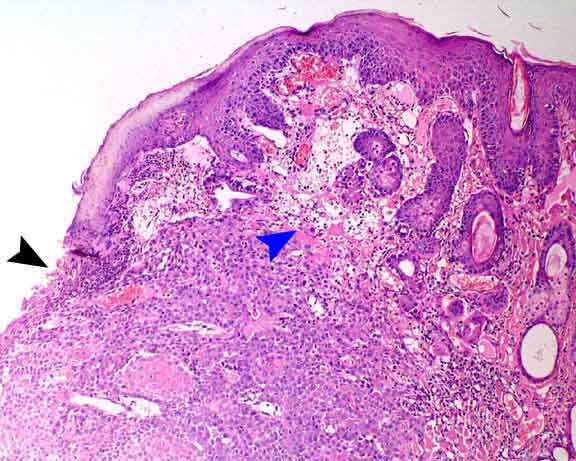
Haired skin:

Neoplastic epithelial cells are invading surrounding
tissues (blue arrowhead). The tumour cells are no longer resting on a
basement membrane. The epidermal surface overlying the tumour is ulcerated
(black arrowhead). (X 100)

Neoplastic epithelial cells. Cells are polygonal in
shape, with abundant, eosinophilic cytoplasm. Cell borders are not obvious.
Nuclei are large, oval, with a large central nucleolus (green arrowhead).
Mitotic figures are common (yellow arrowhead). (x1000)

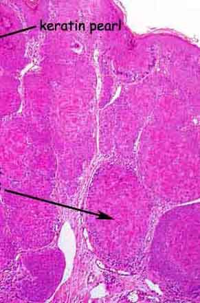
In some squamous cell carcinomas, concentric rings of
keratinising epithelial cells form tight whorls, which are called keratin
pearls. (x200)
(x 40)
Slide ref: 1223-02
|
|